CHOP (7G7) Mouse Monoclonal Antibody
| Cat Number: | MABN03606 |
|---|---|
| Conjugate: | Unconjugated |
| Size: | 100μL |
| Clone: | 7G7 |
| Concentration: | 1mg/ml |
| Host: | Mouse |
| Isotype: | IgG1 |
| Immunogen: | Synthetic Peptide of CHOP at AA range of 10-90 |
| Reactivity: | Human,Rat,Mouse |
| Applications: | WB 1:500-1:1000,IHC 1:50-1:100,ICC/IF 1:50-1:200 |
| Molecular: | 27 kDa |
| Purification: | Affinity purification |
| Synonyms: | DDIT3; CHOP; CHOP10; GADD153; DNA damage-inducible transcript 3 protein; DDIT-3; C/EBP-homologous protein; CHOP; C/EBP-homologous protein 10; CHOP-10; Growth arrest and DNA damage-inducible protein GADD153 |
| Background: | Inhibits the DNA-binding activity of C/EBP and LAP by forming heterodimers that cannot bind DNA. |
| Form: | liquid |
| Buffer: | Liquid in PBS containing 50% glycerol, 0.5% protective protein and 0.02% sodium azide, pH 7.3. |
| Storage: | Store at 4°C short term. Aliquot and store at -20°C long term. Avoid freeze/thaw cycles. |
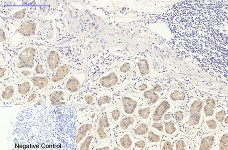
Immunohistochemistry analysis of paraffin-embedded Human stomach tissue using DDIT3 (7G7) antibody.High-pressure and temperature Sodium Citrate pH 6.0 was used for antigen retrieval.Negative control was used by secondary antibody only.
Immunofluorescence analysis of DDIT3 (7G7) in mouse brain tissue using DDIT3 (7G7) antibody(red),and DAPI (blue).
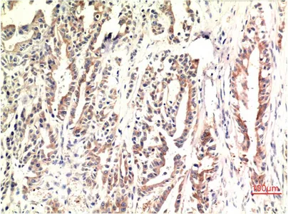
Immunohistochemistry analysis of paraffin-embedded Human Stomach Carcinoma Tissue using CHOP antibody. High-pressure and temperature Sodium Citrate pH 6.0 was used for antigen retrieval.
