Doublecortin (phospho Ser339) Rabbit Polyclonal Antibody
| Cat Number: | ABN04561 |
|---|---|
| Conjugate: | Unconjugated |
| Size: | 100ul |
| Clone: | POLY |
| Concentration: | 1mg/ml |
| Host: | Rabbit |
| Isotype: | IgG |
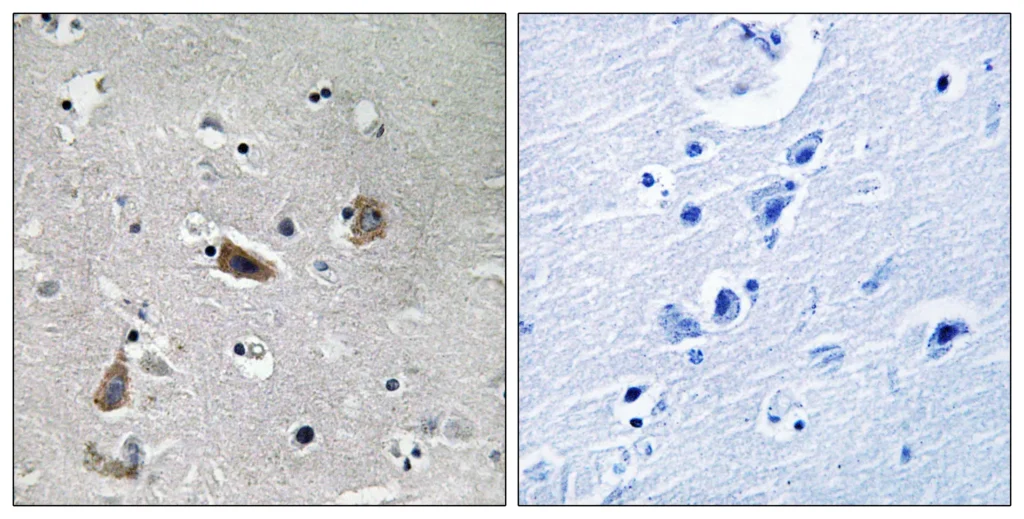
| Immunogen: | Phosphopeptide (Phospho-left) and Non-Phosphopeptide (Phospho-right), using Doublecortin (Phospho-Ser376) Antibody Immunohistochemistry analysis of paraffin-embedded human brain, using Doublecortin (Phospho-Ser376) Antibody. The picture on the right is blocked with the phospho peptide. |
| Reactivity: | Human,Mouse,Rat,Other |
| Applications: | IHC 1:100-1:300,ICC/IF 1:50-1:200,ELISA 1:5000-1:10000 |
| Purification: | Affinity purification |
| Synonyms: | DCX; DBCN; LISX; Neuronal migration protein doublecortin; Doublin; Lissencephalin-X; Lis-X |
| Background: | This gene encodes a member of the doublecortin family. The protein encoded by this gene is a cytoplasmic protein and contains two doublecortin domains, which bind microtubules. In the developing cortex, cortical neurons must migrate over long distances to reach the site of their final differentiation. The encoded protein appears to direct neuronal migration by regulating the organization and stability of microtubules. In addition, the encoded protein interacts with LIS1, the regulatory gamma subunit of platelet activating factor acetylhydrolase, and this interaction is important to proper microtubule function in the developing cortex. Mutations in this gene cause abnormal migration of neurons during development and disrupt the layering of the cortex, leading to epilepsy, mental retardation, subcortical band heterotopia (“double cortex” syndrome) in females and lissencephaly (“smooth brain&quoalternative products:Isoform LIS-XA possesses an alternative exon in 5′ and is then translated from an upstream initiation codon. Isoform LIS-XB, isoform LIS-XC and isoform LIS-XD translation starts at the downstream initiation codon, leading to the absence of the 81 first amino acids. Isoform LIS-XC and isoform LIS-XD differ from isoform LIS-XB by a five amino acids and a one amino acid-insertion respectively,disease:A chromosomal aberration involving DCX is found in lissencephaly. Translocation t(X;2)(q22.3;p25.1).,disease:Defects in DCX are the cause of lissencephaly X-linked type 1 (LISX1) [MIM:300067]; also called X-LIS or LIS. LISX1 is a classic lissencephaly characterized by mental retardation and seizures that are more severe in male patients. Affected boys show an abnormally thick cortex with absent or severely reduced gyri. Clinical manifestations include feeding problems, abnormal muscular tone, seizures and severe to profound psychomotor retardation. Female patients display a less severe phenotype referred to as ‘doublecortex’.,disease:Defects in DCX are the cause of subcortical band heterotopia X-linked (SBHX) [MIM:300067]; also known as double cortex or subcortical laminar heterotopia (SCLH). SBHX is a mild brain malformation of the lissencephaly spectrum. It is characterized by bilateral and symmetric plates or bands of gray matter found in the central white matter between the cortex and cerebral ventricles, cerebral convolutions usually appearing normal.,function:Seems to be required for initial steps of neuronal dispersion and cortex lamination during cerebral cortex development. May act by competing with the putative neuronal protein kinase DCAMKL1 in binding to a target protein. May in that way participate in a signaling pathway that is crucial for neuronal interaction before and during migration, possibly as part of a calcium ion-dependent signal transduction pathway. May be part with LIS-1 of an overlapping, but distinct, signaling pathways that promote neuronal migration.,similarity:Contains 2 doublecortin domains.,subunit:Interacts with tubulin.,tissue specificity:Highly expressed in neuronal cells of fetal brain (in the majority of cells of the cortical plate, intermediate zone and ventricular zone), but not expressed in other fetal tissues. In the adult, highly expressed in the brain frontal lobe, but very low expression in other regions of brain, and not detected in heart, placenta, lung, liver, skeletal muscles, kidney and pancreas., |
| Form: | liquid |
| Buffer: | Liquid in PBS containing 50% glycerol, 0.5% protective protein and 0.02% New type preservative N. |
| Storage: | Store at 4°C short term. Aliquot and store at -20°C long term. Avoid freeze/thaw cycles. |
Enzyme-Linked Immunosorbent Assay (Phospho-ELISA) for Immunogen Phosphopeptide (Phospho-left) and Non-Phosphopeptide (Phospho-right), using Doublecortin (Phospho-Ser376) Antibody
Immunohistochemistry analysis of paraffin-embedded human brain, using Doublecortin (Phospho-Ser376) Antibody. The picture on the right is blocked with the phospho peptide.
