DRP1 (phospho Ser637) rabbit Polyclonal Antibody
| Cat Number: | ABE4418 |
|---|---|
| Conjugate: | unconjugated |
| Size: | 100 ug |
| Clone: | Polyclonal |
| Concentration: | 1 mg/ml |
| Host: | Rabbit |
| Isotype: | IgG |
| Immunogen: | Synthesized phospho-peptide around the phosphorylation site of human DRP1 (phospho Ser637) |
| Reactivity: | Human;Mouse;Rat |
| Applications: | Western Blot: 1/500 - 1/2000. IHC-p: 1:100-300 ELISA: 1/20000. IF 1:100-300 Not yet tested in other applications. |
| Molecular: | 81kD |
| Synonyms: | DNM1L; DLP1; DRP1; Dynamin-1-like protein; Dnm1p/Vps1p-like protein; DVLP; Dynamin family member proline-rich carboxyl-terminal domain less; Dymple; Dynamin-like protein; Dynamin-like protein 4; Dynamin-like protein IV; HdynIV; Dynamin-rela |
| Background: | This gene encodes a member of the dynamin superfamily of GTPases. The encoded protein mediates mitochondrial and peroxisomal division, and is involved in developmentally regulated apoptosis and programmed necrosis. Dysfunction of this gene is implicated in several neurological disorders, including Alzheimer’s disease. Mutations in this gene are associated with the autosomal dominant disorder, encephalopathy, lethal, due to defective mitochondrial and peroxisomal fission (EMPF). Alternative splicing results in multiple transcript variants encoding different isoforms. [provided by RefSeq, Jun 2013], |
| Form: | liquid |
| Storage: | -20°C/1 year |
Immunofluorescence analysis of A549. 1,primary Antibody(red) was diluted at 1:200(4°C overnight). 2, Goat Anti Rabbit IgG (H&L) – Alexa Fluor 594 Secondary antibody was diluted at 1:1000(room temperature, 50min).3, Picture B: DAPI(blue) 10min.
Western Blot analysis of JK cells using Phospho-DRP1 (S637) Polyclonal Antibody
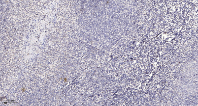
Immunohistochemical analysis of paraffin-embedded human tonsil. 1, Antibody was diluted at 1:200(4° overnight). 2, Tris-EDTA,pH9.0 was used for antigen retrieval. 3,Secondary antibody was diluted at 1:200(room temperature, 30min).
