GFAP (phospho Ser38) Rabbit Polyclonal Antibody
| Cat Number: | ABN04730 |
|---|---|
| Conjugate: | Unconjugated |
| Size: | 100ul |
| Clone: | POLY |
| Concentration: | 1mg/ml |
| Host: | Rabbit |
| Isotype: | IgG |
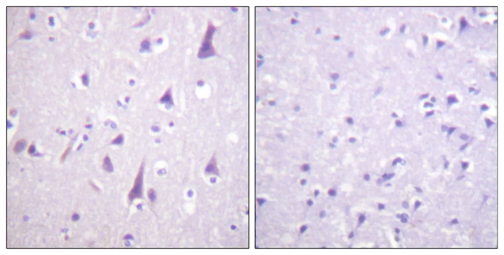
| Immunogen: | Phosphopeptide (Phospho-left) and Non-Phosphopeptide (Phospho-right), using GFAP (Phospho-Ser38) Antibody Immunofluorescence analysis of COS7 cells, using GFAP (Phospho-Ser38) Antibody. The picture on the right is blocked with the phospho peptide. Immunohistochemistry analysis of paraffin-embedded human brain, using GFAP (Phospho-Ser38) Antibody. The picture on the right is blocked with the phospho peptide. |
| Reactivity: | Human,Rat,Mouse |
| Applications: | WB 1:500-1:2000,IHC 1:100-1:300,ICC/IF 1:200-1:1000,ELISA 1:5000-1:10000 |
| Molecular: | 50kDa |
| Purification: | Affinity purification |
| Synonyms: | GFAP; Glial fibrillary acidic protein; GFAP |
| Background: | This gene encodes one of the major intermediate filament proteins of mature astrocytes. It is used as a marker to distinguish astrocytes from other glial cells during development. Mutations in this gene cause Alexander disease, a rare disorder of astrocytes in the central nervous system. Alternative splicing results in multiple transcript variants encoding distinct isoforms. [provided by RefSeq, Oct 2008],alternative products:Isoforms differ in the C-terminal region which is encoded by alternative exons,disease:Defects in GFAP are a cause of Alexander disease (ALEXD) [MIM:203450]. Alexander disease is a rare disorder of the central nervous system. It is a progressive leukoencephalopathy whose hallmark is the widespread accumulation of Rosenthal fibers which are cytoplasmic inclusions in astrocytes. The most common form affects infants and young children, and is characterized by progressive failure of central myelination, usually leading to death usually within the first decade. Infants with Alexander disease develop a leukoencephalopathy with macrocephaly, seizures, and psychomotor retardation. Patients with juvenile or adult forms typically experience ataxia, bulbar signs and spasticity, and a more slowly progressive course.,function:GFAP, a class-III intermediate filament, is a cell-specific marker that, during the development of the central nervous system, distinguishes astrocytes from other glial cells.,online information:GFAP entry,similarity:Belongs to the intermediate filament family.,subcellular location:Associated with intermediate filaments.,subunit:Interacts with SYNM (By similarity). Isoform 3 interacts with PSEN1 (via N-terminus).,tissue specificity:Expressed in cells lacking fibronectin., |
| Form: | liquid |
| Buffer: | Liquid in PBS containing 50% glycerol, 0.5% protective protein and 0.02% New type preservative N. |
| Storage: | Store at 4°C short term. Aliquot and store at -20°C long term. Avoid freeze/thaw cycles. |
Enzyme-Linked Immunosorbent Assay (Phospho-ELISA) for Immunogen Phosphopeptide (Phospho-left) and Non-Phosphopeptide (Phospho-right), using GFAP (Phospho-Ser38) Antibody
Immunofluorescence analysis of COS7 cells, using GFAP (Phospho-Ser38) Antibody. The picture on the right is blocked with the phospho peptide.
Immunohistochemistry analysis of paraffin-embedded human brain, using GFAP (Phospho-Ser38) Antibody. The picture on the right is blocked with the phospho peptide.
