Huntingtin Rabbit Polyclonal Antibody
| Cat Number: | ABN12285 |
|---|---|
| Conjugate: | Unconjugated |
| Size: | 100ul |
| Clone: | POLY |
| Concentration: | 1mg/ml |
| Host: | Rabbit |
| Isotype: | IgG |
| Immunogen: | AA range:387-436 |
| Reactivity: | Human,Mouse,Rat |
| Applications: | IHC 1:100-1:300,ICC/IF 1:50-1:200,ELISA 1:5000-1:10000 |
| Purification: | Affinity purification |
| Synonyms: | HTT; HD; IT15; Huntingtin; Huntington disease protein; HD protein |
| Background: | Huntingtin(HTT) Homo sapiens Huntingtin is a disease gene linked to Huntington’s disease, a neurodegenerative disorder characterized by loss of striatal neurons. This is thought to be caused by an expanded, unstable trinucleotide repeat in the huntingtin gene, which translates as a polyglutamine repeat in the protein product. A fairly broad range of trinucleotide repeats (9-35) has been identified in normal controls, and repeat numbers in excess of 40 have been described as pathological. The huntingtin locus is large, spanning 180 kb and consisting of 67 exons. The huntingtin gene is widely expressed and is required for normal development. It is expressed as 2 alternatively polyadenylated forms displaying different relative abundance in various fetal and adult tissues. The larger transcript is approximately 13.7 kb and is expressed predominantly in adult and fetal brain whereas the smaller transcript of approximately 10.3 kb is more wideldisease:Defects in HTT are the cause of Huntington disease (HD) [MIM:143100]. HD is an autosomal dominant neurodegenerative disorder characterized by involuntary movements (chorea), general motor impairment, psychiatric disorders and dementia. Onset of the disease occurs usually in the third or fourth decade of life and symptoms progressively worsen leading to death in 10 to 20 years. Onset and clinical course depend on the degree of poly-Gln repeat expansion, longer expansions resulting in earlier onset and more severe clinical manifestations. HD affects 1 in 10,000 individuals of European origin. Neuropathology of Huntington disease displays a distinctive pattern with loss of neurons, especially in the caudate and putamen (striatum).,function:May play a role in microtubule-mediated transport or vesicle function.,online information:Huntingtin entry,polymorphism:The poly-Gln region of HTT is highly polymorphic (10 to 35 repeats) in the normal population and is expanded to about 36-120 repeats in Huntington disease patients. The repeat length usually increases in successive generations, but contracts also on occasion. The adjacent poly-Pro region is also polymorphic and varies between 7-12 residues. Polyglutamine expansion leads to elevated susceptibility to apopain cleavage and likely result in accelerated neuronal apoptosis.,PTM:Cleaved by apopain downstream of the polyglutamine stretch. The resulting amino-terminal fragment is cytotoxic and provokes apoptosis.,PTM:Forms with expanded polyglutamine expansion are specifically ubiquitinated by SYVN1, which promotes their proteasomal degradation.,similarity:Belongs to the huntingtin family.,similarity:Contains 10 HEAT repeats.,subunit:Binds SH3GLB1 (By similarity). Interacts through its N-terminus with PRPF40A. Interacts with PQBP1, SETD2 and SYVN.,tissue specificity:Widely expressed with the highest level of expression in the brain (nerve fibers, varicosities, and nerve endings). In the brain, the regions where it can be mainly found are the cerebellar cortex, the neocortex, the striatum, and the hippocampal formation., |
| Form: | liquid |
| Buffer: | Liquid in PBS containing 50% glycerol, 0.5% protective protein and 0.02% New type preservative N. |
| Storage: | Store at 4°C short term. Aliquot and store at -20°C long term. Avoid freeze/thaw cycles. |
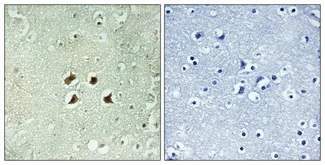
Immunohistochemical analysis of paraffin-embedded Human brain. Antibody was diluted at 1:100(4°,overnight). High-pressure and temperature Tris-EDTA,pH8.0 was used for antigen retrieval. Negetive contrl (right) obtaned from antibody was pre-absorbed by immunogen peptide.
