IL-10 Rabbit Polyclonal Antibody
| Cat Number: | ABE3868 |
|---|---|
| Conjugate: | unconjugated |
| Size: | 100 ug |
| Clone: | Polyclonal |
| Concentration: | 1 mg/ml |
| Host: | Rabbit |
| Isotype: | IgG |
| Immunogen: | The antiserum was produced against synthesized peptide derived from the Internal region of human IL10. AA range:71-120 |
| Reactivity: | Human;Mouse;Rat |
| Applications: | Western Blot: 1/500 - 1/2000. IHC-p: 1:100-300 ELISA: 1/20000. IF 1:100-300 Not yet tested in other applications. |
| Molecular: | 20kD |
| Synonyms: | IL10; Interleukin-10; IL-10; Cytokine synthesis inhibitory factor; CSIF |
| Background: | The protein encoded by this gene is a cytokine produced primarily by monocytes and to a lesser extent by lymphocytes. This cytokine has pleiotropic effects in immunoregulation and inflammation. It down-regulates the expression of Th1 cytokines, MHC class II Ags, and costimulatory molecules on macrophages. It also enhances B cell survival, proliferation, and antibody production. This cytokine can block NF-kappa B activity, and is involved in the regulation of the JAK-STAT signaling pathway. Knockout studies in mice suggested the function of this cytokine as an essential immunoregulator in the intestinal tract. Mutations in this gene are associated with an increased susceptibility to HIV-1 infection and rheumatoid arthritis.[provided by RefSeq, May 2011], |
| Form: | liquid |
| Storage: | -20°C/1 year |
Western Blot analysis of HepG2, Mouse liver cells using IL-10 Polyclonal Antibody. Secondary antibody was diluted at 1:20000
Immunofluorescence analysis of A549. 1,primary Antibody(red) was diluted at 1:200(4°C overnight). 2, Goat Anti Rabbit IgG (H&L) – Alexa Fluor 594 Secondary antibody was diluted at 1:1000(room temperature, 50min).3, Picture B: DAPI(blue) 10min.
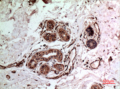
Immunohistochemical analysis of paraffin-embedded human-breast-cancer, antibody was diluted at 1:100
