JAK2 (phospho Tyr221) Rabbit Polyclonal Antibody
| Cat Number: | ABP-0374 |
|---|---|
| Conjugate: | unconjugated |
| Size: | 100 ug |
| Clone: | Polyclonal |
| Concentration: | 1 mg/ml |
| Host: | Rabbit |
| Isotype: | IgG |
| Immunogen: | The antiserum was produced against synthesized peptide derived from human JAK2 around the phosphorylation site of Tyr221. AA range:191-240 |
| Reactivity: | Human;Mouse;Rat |
| Applications: | Western Blot: 1/500 - 1/2000. Immunohistochemistry: 1/100 - 1/300. ELISA: 1/10000. Not yet tested in other applications. |
| Molecular: | 130kD |
| Synonyms: | JAK2; Tyrosine-protein kinase JAK2; Janus kinase 2; JAK-2 |
| Background: | This gene product is a protein tyrosine kinase involved in a specific subset of cytokine receptor signaling pathways. It has been found to be constituitively associated with the prolactin receptor and is required for responses to gamma interferon. Mice that do not express an active protein for this gene exhibit embryonic lethality associated with the absence of definitive erythropoiesis. [provided by RefSeq, Jul 2008], |
| Form: | liquid |
| Storage: | -20°C/1 year |
Enzyme-Linked Immunosorbent Assay (Phospho-ELISA) for Immunogen Phosphopeptide (Phospho-left) and Non-Phosphopeptide (Phospho-right), using JAK2 (Phospho-Tyr221) Antibody
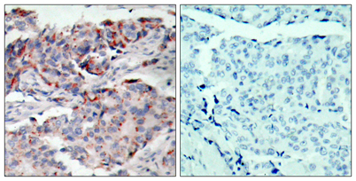
Immunohistochemistry analysis of paraffin-embedded human breast carcinoma, using JAK2 (Phospho-Tyr221) Antibody. The picture on the right is blocked with the phospho peptide.
Western blot analysis of lysates from K562 cells, using JAK2 (Phospho-Tyr221) Antibody. The lane on the right is blocked with the phospho peptide.
