JAK2 (phospho Tyr931) Rabbit Polyclonal Antibody
| Cat Number: | ABP10622 |
|---|---|
| Conjugate: | Unconjugated |
| Size: | 200μL |
| Clone: | POLY |
| Concentration: | 1mg/ml |
| Host: | Rabbit |
| Isotype: | IgG |
| Immunogen: | The antiserum was produced against synthesized peptide derived from human JAK2 around the phosphorylation site of Tyr931. AA range:906-955 |
| Reactivity: | Human,Mouse,Rat |
| Applications: | WB 1:500-1:2000,IHC 1:100-1:300,ICC/IF 1:50-1:200,ELISA 1:10000-1:20000 |
| Molecular: | 130kDa |
| Purification: | Affinity purification |
| Synonyms: | JAK2; Tyrosine-protein kinase JAK2; Janus kinase 2; JAK-2 |
| Background: | This gene product is a protein tyrosine kinase involved in a specific subset of cytokine receptor signaling pathways. It has been found to be constituitively associated with the prolactin receptor and is required for responses to gamma interferon. Mice that do not express an active protein for this gene exhibit embryonic lethality associated with the absence of definitive erythropoiesis. [provided by RefSeq, Jul 2008],catalytic activity:ATP + a [protein]-L-tyrosine = ADP + a [protein]-L-tyrosine phosphate.,disease:Chromosomal aberrations involving JAK2 are found in both chronic and acute forms of eosinophilic, lymphoblastic and myeloid leukemia. Translocation t(8;9)(p22;p24) with PCM1 links the protein kinase domain of JAK2 to the major portion of PCM1. Translocation t(9;12)(p24;p13) with ETV6.,disease:Defects in JAK2 are a cause of acute myelogenous leukemia (AML) [MIM:601626]. AML is a malignant disease in which hematopoietic precursors are arrested in an early stage of development.,disease:Defects in JAK2 are a cause of susceptibility to Budd-Chiari syndrome [MIM:600880]. Budd-Chiari syndrome is a spectrum of disease states, including anatomic abnormalities and hypercoagulable disorders, resulting in hepatic venous outflow occlusion. Clinical manifestations observed in the majority of patients include hepatomegaly, right upper quadrant pain, and abdominal ascites.,disease:Defects in JAK2 are associated with familial myelofibrosis [MIM:254450]. Myelofibrosis with myeloid metaplasia is a myeloproliferative disease with annual incidence of 0.5-1.5 cases per 100,000 individuals and age at diagnosis around 60 (an increased prevalence is noted in Ashkenazi Jews). Clinical manifestations depend on the type of blood cell affected and may include anemia, pallor, splenomegaly, hypermetabolic state, petechiae, ecchymosis, bleeding, lymphadenopathy, hepatomegaly, portal hypertension.,disease:Defects in JAK2 are associated with polycythemia vera (PV) [MIM:263300]. PV, the most common form of primary polycythemia, is caused by somatic mutation in a single hematopoietic stem cell leading to clonal hematopoiesis. PV is a myeloproliferative disorder characterized predominantly by erythroid hyperplasia, but also by myeloid leukocytosis, thrombocytosis, and splenomegaly. Familial cases of PV are very rare and usually manifest in elderly patients.,disease:Defects in JAK2 gene may be a cause of essential thrombocythemia (ET) [MIM:187950]. ET is characterized by elevated platelet levels due to sustained proliferation of megakaryocytes, and frequently lead to thrombotic and haemorrhagic complications.,domain:Possesses two phosphotransferase domains. The second one probably contains the catalytic domain (By similarity), while the presence of slight differences suggest a different role for domain 1.,function:Plays a role in leptin signaling and control of body weight (By similarity). Tyrosine kinase of the non-receptor type, involved in interleukin-3 and probably interleukin-23 signal transduction.,PTM:Leptin promotes phosphorylation on tyrosine residues, including phosphorylation on Tyr-813.,similarity:Belongs to the protein kinase superfamily. Tyr protein kinase family.,similarity:Belongs to the protein kinase superfamily. Tyr protein kinase family. JAK subfamily.,similarity:Contains 1 FERM domain.,similarity:Contains 1 protein kinase domain.,similarity:Contains 1 SH2 domain.,subcellular location:Wholly intracellular, possibly membrane associated.,subunit:Interacts with SIRPA and SH2B1 (By similarity). Interacts with IL23R, SKB1 and STAM2.,tissue specificity:Expressed in blood, bone marrow and lymph node., |
| Form: | liquid |
| Buffer: | Liquid in PBS containing 50% glycerol, 0.5% protective protein and 0.02% New type preservative N. |
| Storage: | Store at 4°C short term. Aliquot and store at -20°C long term. Avoid freeze/thaw cycles. |
Enzyme-Linked Immunosorbent Assay ( Phospho-ELISA ) for Immunogen Phosphopeptide (Phospho-left) and Non-Phosphopeptide (Phospho-right), using JAK2 (Phospho-Tyr931) Antibody
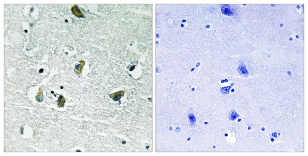
Immunohistochemistry analysis of paraffin-embedded human brain, using JAK2 (Phospho-Tyr931) Antibody. The picture on the right is blocked with the phospho peptide.
Western blot analysis of lysates from HepG2 cells treated with Na3VO4 0.3mM 40′, using JAK2 (Phospho-Tyr931) Antibody. The lane on the right is blocked with the phospho peptide.
