Vimentin Rabbit Monoclonal Antibody
| Cat Number: | MABN03745 |
|---|---|
| Conjugate: | Unconjugated |
| Size: | 100ul |
| Concentration: | 1mg/ml |
| Host: | Rabbit |
| Isotype: | IgG |
| Immunogen: | A synthetic peptide corresponding to target protein |
| Reactivity: | Human,Mouse,Rat,Hamster |
| Applications: | WB 1:500-1:1000,IHC 1:50-1:100,ICC/IF 1:50-1:200 |
| Molecular: | 54 kDa |
| Purification: | Affinity purification |
| Synonyms: | VIM; Vimentin |
| Background: | Vimentin an intermediate filament protein. Intermediate filament proteins are expressed in a tissue-specific manner. Desmin is the subunit specific for muscle and vimentin the subunit specific for mesenchymal tissue. |
| Form: | liquid |
| Buffer: | 50mM Tris-Glycine(pH 7.4), 0.15M NaCl, 40% Glycerol, 0.01% Sodium azide and 0.05% protective protein |
| Storage: | Store at 4°C short term. Aliquot and store at -20°C long term. Avoid freeze/thaw cycles. |
Western blot analysis of Vimentin in 3T3 lysates using Vimentin antibody.
Western blot analysis of Vimentin in C6, CHO-K1, Hela lysates using Vimentin antibody.
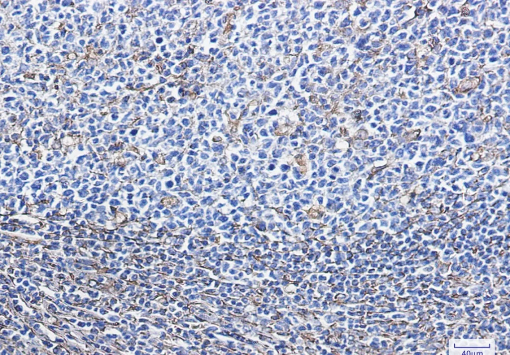
Immunohistochemistry analysis of paraffin-embedded Human tonsil using Vimentin antibody. High-pressure and temperature Sodium Citrate pH 6.0 was used for antigen retrieval.
