Zic1/2/3 Rabbit Polyclonal Antibody
| Cat Number: | ABN20104 |
|---|---|
| Conjugate: | Unconjugated |
| Size: | 100ul |
| Clone: | POLY |
| Concentration: | 1mg/ml |
| Host: | Rabbit |
| Isotype: | IgG |
| Immunogen: | The antiserum was produced against synthesized peptide derived from human ZIC1/2/3. AA range:316-365 Web: https://www.enkilife.com E-mail: order@enkilife.com techsupport@enkilife.com Tel: 0086-27-87002838 |
| Reactivity: | Human,Mouse |
| Applications: | WB 1:500-1:2000,IHC 1:100-1:300,ICC/IF 1:200-1:1000,ELISA 1:10000-1:20000 |
| Molecular: | 51kDa |
| Purification: | Affinity purification |
| Synonyms: | ZIC1; ZIC; ZNF201; Zinc finger protein ZIC 1; Zinc finger protein 201; Zinc finger protein of the cerebellum 1; ZIC2; Zinc finger protein ZIC 2; Zinc finger protein of the cerebellum 2; ZIC3; ZNF203; Zinc finger protein ZIC 3; Zinc finger p |
| Background: | This gene encodes a member of the ZIC family of C2H2-type zinc finger proteins. Members of this family are important during development. Aberrant expression of this gene is seen in medulloblastoma, a childhood brain tumor. This gene is closely linked to the gene encoding zinc finger protein of the cerebellum 4, a related family member on chromosome 3. This gene encodes a transcription factor that can bind and transactivate the apolipoprotein E gene. [provided by RefSeq, Jul 2008],function:May play a role in cerebellar development.,similarity:Belongs to the GLI C2H2-type zinc-finger protein family.,similarity:Contains 5 C2H2-type zinc fingers.,tissue specificity:CNS. A high level expression is seen in the cerebellum. Detected in the nuclei of the cerebellar granule cell lineage from the progenitor cells of the external germinal layer to the postmigrated cells of the internal granular layer. Detected in medulloblastoma (26/29 cases), but not present in all other tumors examined., |
| Form: | liquid |
| Buffer: | Liquid in PBS containing 50% glycerol, 0.5% protective protein and 0.02% New type preservative N. |
| Storage: | Store at 4°C short term. Aliquot and store at -20°C long term. Avoid freeze/thaw cycles. |
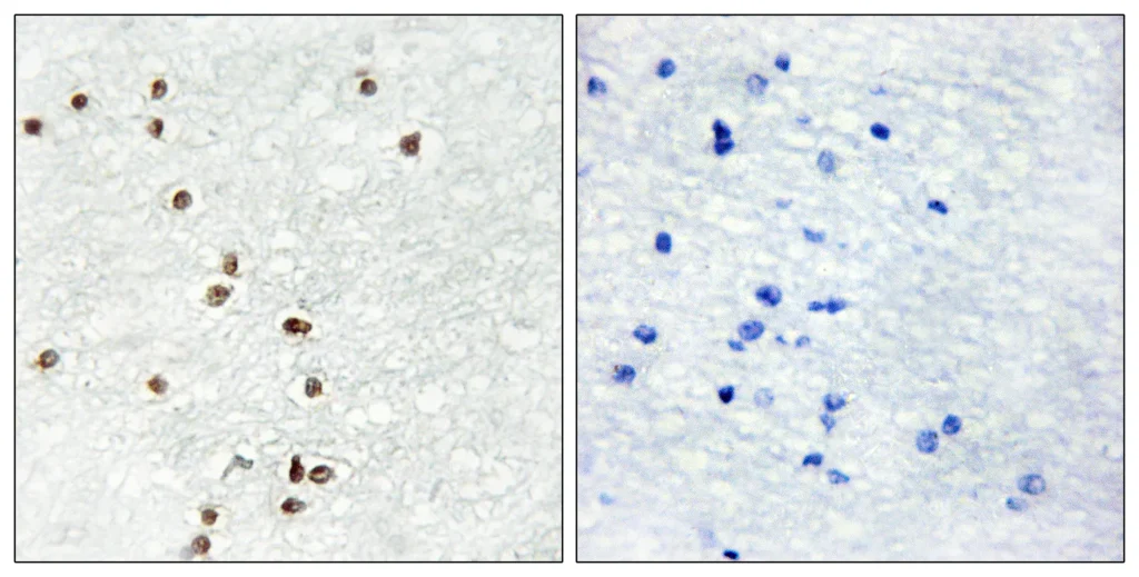
Immunohistochemistry analysis of paraffin-embedded human brain tissue, using ZIC1/2/3 Antibody. The picture on the right is blocked with the synthesized peptide.
Western blot analysis of lysates from Jurkat and COLO cells, using ZIC1/2/3 Antibody. The lane on the right is blocked with the synthesized peptide.
