ATR Rabbit Polyclonal Antibody
| Cat Number: | ABN07352 |
|---|---|
| Conjugate: | Unconjugated |
| Size: | 100μL |
| Clone: | POLY |
| Concentration: | 1mg/ml |
| Host: | Rabbit |
| Isotype: | IgG |
| Immunogen: | The antiserum was produced against synthesized peptide derived from human ATR. AA range:394-443 |
| Reactivity: | Human,Rat,Mouse |
| Applications: | WB 1:500-1:2000,IHC 1:100-1:300,ICC/IF 1:50-1:200,ELISA 1:20000-1:40000 |
| Molecular: | 300kDa |
| Purification: | Affinity purification |
| Synonyms: | ATR; FRP1; Serine/threonine-protein kinase ATR; Ataxia telangiectasia and Rad3-related protein; FRAP-related protein 1 |
| Background: | The protein encoded by this gene belongs the PI3/PI4-kinase family, and is most closely related to ATM, a protein kinase encoded by the gene mutated in ataxia telangiectasia. This protein and ATM share similarity with Schizosaccharomyces pombe rad3, a cell cycle checkpoint gene required for cell cycle arrest and DNA damage repair in response to DNA damage. This kinase has been shown to phosphorylate checkpoint kinase CHK1, checkpoint proteins RAD17, and RAD9, as well as tumor suppressor protein BRCA1. Mutations of this gene are associated with Seckel syndrome. An alternatively spliced transcript variant of this gene has been reported, however, its full length nature is not known. Transcript variants utilizing alternative polyA sites exist. [provided by RefSeq, Jul 2008],catalytic activity:ATP + a protein = ADP + a phosphoprotein.,cofactor:Manganese.,disease:Defects in ATR are a cause of Seckel syndrome type 1 (SCKL1) [MIM:210600]. SCKL1 is a rare autosomal recessive disorder characterized by growth retardation, microcephaly with mental retardation, and a characteristic ‘bird-headed’ facial appearance.,enzyme regulation:Activated by DNA and inhibited by BCR-ABL oncogene. Slightly activated by ATRIP. Inhibited by caffeine, wortmannin and LY294002.,function:Serine/threonine protein kinase which activates checkpoint signaling upon genotoxic stresses such as ionizing radiation (IR), ultraviolet light (UV), or DNA replication stalling, thereby acting as a DNA damage sensor. Recognizes the substrate consensus sequence [ST]-Q. Phosphorylates BRCA1, CHEK1, MCM2, RAD17, RPA2, SMC1 and TP53/p53, which collectively inhibit DNA replication and mitosis and promote DNA repair, recombination and apoptosis. Phosphorylates ‘Ser-139’ of histone variant H2AX/H2AFX at sites of DNA damage, thereby regulating DNA damage response mechanism. Required for FANCD2 ubiquitination. Critical for maintenance of fragile site stability and efficient regulation of centrosome duplication.,PTM:Phosphorylated; autophosphorylates in vitro.,similarity:Belongs to the PI3/PI4-kinase family. ATM subfamily.,similarity:Contains 1 FAT domain.,similarity:Contains 1 FATC domain.,similarity:Contains 1 PI3K/PI4K domain.,similarity:Contains 2 HEAT repeats.,subcellular location:Depending on the cell type, it can also be found in PML nuclear bodies. Recruited to chromatin during S-phase. Redistributes to discrete nuclear foci upon DNA damage, hypoxia or replication fork stalling.,subunit:Forms an heterodimer with ATRIP. Binds to DNA, and to UV-damaged DNA with higher affinity. Interacts with RAD17, MSH2 and HDAC2. Present in a complex containing ATRIP and RPA-coated single-stranded DNA. Present in a complex containing CHD4 and HDAC2. Interacts with BCR-ABL after genotoxic stress. Interacts with EEF1E1. This interaction is enhanced by UV irradiation. Interacts with CLSPN and CEP164.,tissue specificity:Ubiquitous, with highest expression in testis. Isoform 2 is found in pancreas, placenta and liver but not in heart, testis and ovary., |
| Form: | liquid |
| Buffer: | Liquid in PBS containing 50% glycerol, 0.5% protective protein and 0.02% New type preservative N. |
| Storage: | Store at 4°C short term. Aliquot and store at -20°C long term. Avoid freeze/thaw cycles. |
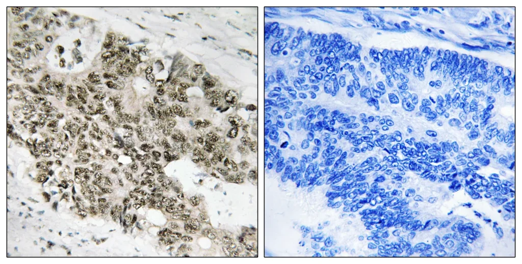
Immunohistochemistry analysis of paraffin-embedded human colon carcinoma, using ATR Antibody. The picture on the right is blocked with the synthesized peptide.
Western Blot analysis of COLO cells using ATR Polyclonal Antibody.
