BMP2 Rabbit pAb
Cat Number: | AB0231 |
---|---|
Conjugate: | Unconjugated |
Size: | 100 ug |
Concentration: | 1mg/ml |
Host: | Rabbit |
Isotype: | IgG |
Immunogen: | Recombinant protein.This information is considered to be commercially sensitive. |
Reactivity: | Human,Mouse,Rat |
Applications: | WB 1:500 - 1:1000 IHC-P 1:50 - 1:200 IF/ICC 1:50 - 1:200 ELISA Recommended starting concentration is 1 μg/mL. Please optimize the concentration based on your specific assay requirements. |
Molecular: | 30kDa/38kDa |
Purification: | Affinity purification |
Synonyms: | BDA2; BMP2A; SSFSC; SSFSC1; BMP2 |
Background: | This gene encodes a secreted ligand of the TGF-beta (transforming growth factor-beta) superfamily of proteins. Ligands of this family bind various TGF-beta receptors leading to recruitment and activation of SMAD family transcription factors that regulate gene expression. The encoded preproprotein is proteolytically processed to generate each subunit of the disulfide-linked homodimer, which plays a role in bone and cartilage development. Duplication of a regulatory region downstream of this gene causes a form of brachydactyly characterized by a malformed index finger and second toe in human patients. |
Form: | liquid |
Buffer: | PBS containing 50% glycerol, preserved with proclin300 or sodium azide (as specified on the Certificate of Analysis), pH 7.3. |
Storage: | Store at -20℃. Avoid freeze / thaw cycles. |

Western blot analysis of lysates from Hep G2 cells using BMP2 Rabbit pAb at 1:1000 dilution.
Secondary antibody: HRP-conjugated Goat anti-Rabbit IgG (H+L) at 1:10000 dilution.
Lysates/proteins: 25 μg per lane.
Blocking buffer: 3% nonfat dry milk in TBST.
Detection: ECL Basic Kit.
Exposure time: 90s.

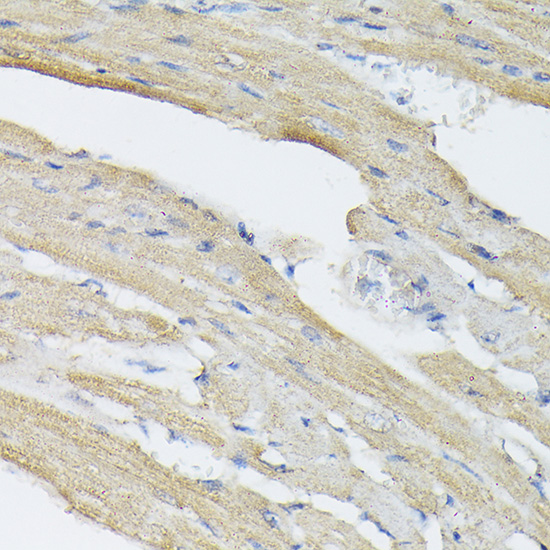
Immunohistochemistry analysis of paraffin-embedded Rat heart using BMP2 Rabbit pAb at dilution of 1:50 (40x lens). High pressure antigen retrieval performed with 0.01M Citrate buffer (pH 6.0) prior to IHC staining.

Immunofluorescence analysis of HeLa cells using BMP2 Rabbit pAb(A0231) at a dilution of 1:100 (40x lens). Secondary antibody:Cy3 Goat Anti-Rabbit IgG (H+L)( at 1:500 dilution. Blue: DAPI for nuclear staining.