Cerberus Rabbit Polyclonal Antibody
| Cat Number: | ABN08678 |
|---|---|
| Conjugate: | Unconjugated |
| Size: | 100ul |
| Clone: | POLY |
| Concentration: | 1mg/ml |
| Host: | Rabbit |
| Isotype: | IgG |
| Immunogen: | The antiserum was produced against synthesized peptide derived from the Internal region of human CER1. AA range:91-140 |
| Reactivity: | Human,Rat |
| Applications: | WB 1:500-1:2000,IHC 1:100-1:300,ICC/IF 1:50-1:200,ELISA 1:10000-1:20000 |
| Molecular: | 30kDa |
| Purification: | Affinity purification |
| Synonyms: | CER1; DAND4; Cerberus; Cerberus-related protein; DAN domain family member 4 |
| Background: | This gene encodes a cytokine member of the cysteine knot superfamily, characterized by nine conserved cysteines and a cysteine knot region. The cerberus-related cytokines, together with Dan and DRM/Gremlin, represent a group of bone morphogenetic protein (BMP) antagonists that can bind directly to BMPs and inhibit their activity. [provided by RefSeq, Jul 2008],function:Cytokine that may play a role in anterior neural induction and somite formation during embryogenesis in part through a BMP-inhibitory mechanism. Can regulate Nodal signaling during gastrulation as well as the formation and patterning of the primitive streak.,PTM:N-glycosylated.,sequence caution:Translated as Ser.,similarity:Belongs to the DAN family.,similarity:Contains 1 CTCK (C-terminal cystine knot-like) domain.,subunit:Forms monomers and predominantly dimers., |
| Form: | liquid |
| Buffer: | Liquid in PBS containing 50% glycerol, 0.5% protective protein and 0.02% New type preservative N. |
| Storage: | Store at 4°C short term. Aliquot and store at -20°C long term. Avoid freeze/thaw cycles. |
Western Blot analysis of MCF-7 cells using Cerberus Polyclonal Antibody. Antibody was diluted at 1:500. Secondary antibody was diluted at 1:20000
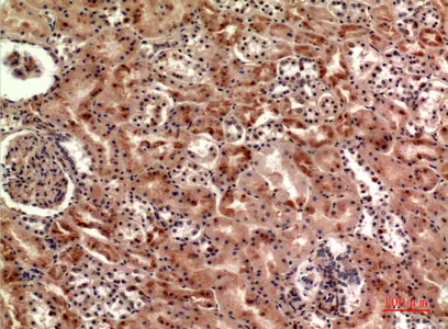
Immunohistochemical analysis of paraffin-embedded human-kidney, antibody was diluted at 1:100
Immunohistochemical analysis of paraffin-embedded human-spleen, antibody was diluted at 1:100
