HDAC6 Rabbit Polyclonal Antibody
| Cat Number: | ABN11950 |
|---|---|
| Conjugate: | Unconjugated |
| Size: | 100μL |
| Clone: | POLY |
| Concentration: | 1mg/ml |
| Host: | Rabbit |
| Isotype: | IgG |
| Immunogen: | The antiserum was produced against synthesized peptide derived from human HDAC6. AA range:7-56 |
| Reactivity: | Human,Mouse |
| Applications: | WB 1:500-1:2000,IHC 1:100-1:300,ICC/IF 1:200-1:1000,ELISA 1:10000-1:20000 |
| Molecular: | 131kDa |
| Purification: | Affinity purification |
| Synonyms: | HDAC6; KIAA0901; JM21; Histone deacetylase 6; HD6 |
| Background: | Histones play a critical role in transcriptional regulation, cell cycle progression, and developmental events. Histone acetylation/deacetylation alters chromosome structure and affects transcription factor access to DNA. The protein encoded by this gene belongs to class II of the histone deacetylase/acuc/apha family. It contains an internal duplication of two catalytic domains which appear to function independently of each other. This protein possesses histone deacetylase activity and represses transcription. [provided by RefSeq, Jul 2008],catalytic activity:Hydrolysis of an N(6)-acetyl-lysine residue of a histone to yield a deacetylated histone.,function:Responsible for the deacetylation of lysine residues on the N-terminal part of the core histones (H2A, H2B, H3 and H4). Histone deacetylation gives a tag for epigenetic repression and plays an important role in transcriptional regulation, cell cycle progression and developmental events. Histone deacetylases act via the formation of large multiprotein complexes (By similarity). Plays a central role in microtubule-dependent cell motility via deacetylation of tubulin.,PTM:Sumoylated in vitro.,PTM:Ubiquitinated. Its polyubiquitination however does not lead to its degradation.,similarity:Belongs to the histone deacetylase family. Type 2 subfamily.,similarity:Contains 1 UBP-type zinc finger.,subcellular location:It is mainly cytoplasmic, where it is associated with microtubules.,subunit:Interacts with CBFA2T3, HDAC11 and SIRT2. Interacts with F-actin. Interacts with BBIP10., |
| Form: | liquid |
| Buffer: | Liquid in PBS containing 50% glycerol, 0.5% protective protein and 0.02% New type preservative N. |
| Storage: | Store at 4°C short term. Aliquot and store at -20°C long term. Avoid freeze/thaw cycles. |
Immunofluorescence analysis of HepG2 cells, using HDAC6 Antibody. The picture on the right is blocked with the synthesized peptide.
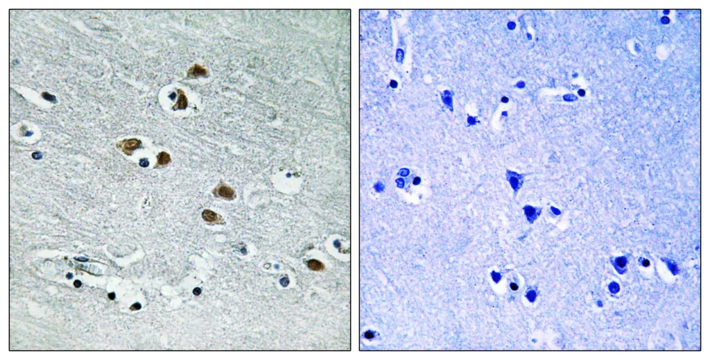
Immunohistochemistry analysis of paraffin-embedded human brain tissue, using HDAC6 Antibody. The picture on the right is blocked with the synthesized peptide.
Western blot analysis of lysates from HepG2 cells, using HDAC6 Antibody. The lane on the right is blocked with the synthesized peptide.
