Synaptophysin (10C8) Mouse Monoclonal Antibody
| Cat Number: | MABN03573 |
|---|---|
| Conjugate: | Unconjugated |
| Size: | 100ul |
| Clone: | 10C8 |
| Concentration: | 1mg/ml |
| Host: | Mouse |
| Isotype: | IgG1 |
| Immunogen: | A synthetic peptide of human Synaptophysin |
| Reactivity: | Human,Mouse,Rat |
| Applications: | WB 1:500-1:1000,IHC 1:50-1:100 |
| Molecular: | 34 kDa |
| Purification: | Affinity purification |
| Synonyms: | SYP; Synaptophysin; Major synaptic vesicle protein p38 |
| Background: | SYP Possibly involved in structural functions as organizing other membrane components or in targeting the vesicles to the plasma membrane. Involved in the regulation of short-term and long-term synaptic plasticity. Belongs to the synaptophysin/synaptobrevin family. Homohexamer or homotetramer. Note: This description may include information from UniProtKB. |
| Form: | liquid |
| Buffer: | Liquid in PBS containing 50% glycerol, 0.5% protective protein and 0.02% sodium azide, pH 7.3. |
| Storage: | Store at 4°C short term. Aliquot and store at -20°C long term. Avoid freeze/thaw cycles. |
Western blot analysis of Synaptophysin (10C8) in rat brain lysates using Synaptophysin (10C8) antibody.
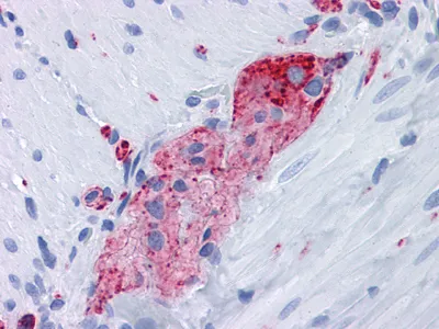
Immunohistochemical analysis of paraffin-embedded Human tonsils using Synaptophysin (10C8) antibody. High-pressure and temperature Sodium Citrate pH 6.0 was used for antigen retrieval.
Western blot analysis of Synaptophysin (10C8) in rat Brain, rat Hippocampus, Hela, 3T3 lysates using Synaptophysin (10C8) antibody
